临床缓解5年后健康妊娠! 癌症治疗新突破: CAR-T细胞疗法让癌细胞无所遁形, 癌症患者迎来新生曙光!
癌症,一直以来都是威胁人类健康的重大疾病之一。传统的癌症治疗方法,如手术、化疗和放疗,虽然在一定程度上能够控制癌症的发展,但都存在着各自的局限性。然而,随着生物技术的飞速发展,一种新兴的癌症治疗方法-CAR-T细胞疗法应运而生,为癌症患者带来了新的曙光。
什么是CAR-T细胞疗法
CAR-T细胞疗法,即嵌合抗原受体T细胞疗法,对患者自身的T细胞进行基因改造,使其能够识别并攻击癌细胞。我们都知道,T细胞是人体免疫系统中的重要组成部分,具有识别和清除外来病原体以及异常细胞的能力。但在癌症患者体内,“狡猾的”癌细胞往往会通过一些机制逃避免疫系统的识别和攻击。
于是研究人员从患者体内提取T细胞,然后在体外利用基因工程技术,将能够识别癌细胞特定抗原的嵌合抗原受体(CAR)基因导入T细胞中。这一方法相当于给T细胞安装了一个可以识别癌细胞的“GPS”,这样经过改造后的T细胞就像被重新编程的“超级战士”,能够特异性地识别癌细胞表面的抗原,实现杀伤癌细胞的作用。

CAR-T细胞疗法的概念最早可以追溯到20世纪80年代,但在当时,由于技术和认知的限制,这一疗法并没有取得实质性的进展。直到2011年,美国宾夕法尼亚大学的研究人员在《新英格兰医学杂志》上发表了一项重要研究成果,他们利用CAR-T细胞疗法成功治疗了一名慢性淋巴细胞白血病患者,这一案例引起了全球医学界的广泛关注。

图片源于新英格兰医学杂志
CAR-T细胞疗法成功治疗慢性淋巴细胞白血病患者
该患者于1996年被诊断为慢性淋巴细胞白血病(CLL),在观察白细胞进展性增多和淋巴结肿大6年后,他首次需要治疗。2002年,他接受了两个周期的利妥昔单抗联合氟达拉滨治疗;这种治疗使血细胞计数正常化,淋巴结肿大部分消退。
2006年,他接受了四个周期的利妥昔单抗和氟达拉滨以治疗疾病进展,再次使血细胞计数正常化,淋巴结肿大部分消退。这种反应之后是20个月的无进展间隔和2年的无治疗间隔。
2009年2月,他出现急进性白细胞增多和复发性淋巴结肿大。他的骨髓被慢性淋巴细胞白血病广泛浸润。他接受了一个周期的利妥昔单抗联合苯达莫司汀治疗,以及另外三个周期的不含利妥昔单抗的苯达莫司汀治疗(因为严重的过敏反应)。这种治疗仅导致淋巴细胞增多的短暂改善。
之后,患者收集自体T细胞并冷冻保存。然后患者接受阿仑珠单抗治疗11周,造血功能改善,淋巴结肿大部分消退。在接下来的6个月里,他的病情稳定,骨髓持续广泛受累,弥漫性淋巴结肿大,伴有多个1至3cm淋巴结。
2010年7月,该患者参加了CAR-T细胞的I期临床试验。在第一次输注CAR-T细胞后14天,患者开始出现与2级疲劳相关的寒战和低烧。在接下来的5天里,发冷加剧,他的体温升高到39.2°C,伴有寒战、出汗、厌食、恶心和腹泻。没有出现吸道或心脏症状。由于发热,进行了胸部X光检查和血液、尿液和粪便培养,结果均为阴性或正常。
对症治疗后,尿酸水平在24小时内恢复到正常范围,肌酐水平在3 天内恢复正常;他在医院第4天出院。乳酸脱氢酶水平逐渐下降,在接下来的一个月中恢复正常。

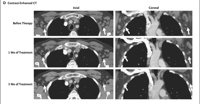
图片源于新英格兰医学杂志
CAR-T细胞输注第28天,淋巴结肿大不再可触及,第23天,骨髓中已经没有慢性淋巴细胞白血病的迹象。输注后第31天的CT扫描显示淋巴结肿大消退。CAR-T细胞输注3个月后,CT扫描显示持续缓解。

图片源于新英格兰医学杂志
此后,CAR-T细胞疗法进入了快速发展阶段。越来越多的临床试验在全球范围内展开,研究人员不断优化CAR-T细胞的设计和制备工艺,提高其疗效和安全性。自2017年美国食品药品监督管理局(FDA)批准CAR-T细胞疗法产品上市,直到现在,CAR-T细胞疗法已经有多款产品获批用于血液肿瘤。

与传统癌症治疗方法相比,CAR-T细胞疗法在某些血液系统恶性肿瘤的治疗中展现出了惊人的疗效。
弥漫性大B细胞淋巴瘤患者经CAR-T细胞治疗实现临床缓解5年后自发健康妊娠
近日,《Journal forImmunoTherapy of Cancer》发表了一篇题为:First reported case of a spontaneous and healthy pregnancy in a woman with persistent CAR T-cells 5 years after treatment for diffuse large B-cell lymphoma的文章,文中介绍了一例患有复发难治性弥漫性大B细胞淋巴瘤的妇女,参与CAR-T细胞治疗的临床研究,实现临床缓解超过5年时间,甚至实现健康妊娠的病例。

图片源于Journal forImmunoTherapy of Cancer
该患者被诊断出患有弥漫性大B细胞淋巴瘤后,接受了6个周期的DA-EPOCH-R治疗方案,并且服用亮丙瑞林来保持生育能力,但未能达到代谢完全反应。
在参加CAR-T细胞治疗后,接受axicabtagene ciloleucel治疗难治性弥漫性大B细胞淋巴瘤,并实现了代谢完全反应。
CAR-T细胞治疗5年后,她在没有激素治疗或生育治疗的情况下,实现自然怀孕。
实验室证明,患者体内仍有CAR-T细胞的存在。鉴于母乳中存在CAR-T细胞以及这可能给婴儿带来的未知风险,母亲选择不进行母乳喂养,以降低CAR-T细胞通过胃肠道植入婴儿的风险。母亲和婴儿均未出现围产期并发症。
该病例证明了使用CAR-T细胞治疗的有癌症病史的患者(包括那些治疗后CAR-T细胞持续存在的患者)进行安全妊娠的可能性。
结语
需要了解的是,虽然CAR-T细胞疗法在血液系统恶性肿瘤的治疗中取得了显著的成果,但CAR-T细胞疗法的制备过程非常复杂,需要先进的技术和设备,使得CAR-T细胞疗法的成本极高,目前一个疗程的治疗费用高达数十万美元甚至更高。如此高昂的费用让很多患者望而却步,限制了这一疗法的广泛应用。
并且CAR-T细胞疗法也伴随着一些严重的副作用。其中最常见的是细胞因子释放综合征(CRS),这是由于CAR-T细胞在攻击癌细胞时释放出大量的细胞因子,导致出现发热、低血压、呼吸困难等症状,严重时甚至会危及生命。此外,CAR-T细胞还可能攻击正常组织和器官,引发神经毒性等其他副作用。
目前,CAR-T细胞疗法虽然在血液系统恶性肿瘤的治疗中取得了显著的成果,但在实体瘤的治疗中效果却不尽如人意。这主要是因为实体瘤具有复杂的微环境,能够抑制CAR-T细胞的活性和功能。此外,实体瘤缺乏特异性的抗原,使得CAR-T细胞难以准确识别和攻击癌细胞。
CAR-T细胞疗法作为一种新兴的癌症治疗方法,为癌症患者带来了前所未有的希望。它的高效性、特异性和持久性使其在癌症治疗领域具有巨大的潜力。然而,我们也必须清醒地认识到,CAR-T细胞疗法目前还面临着诸多挑战,需要我们不断地进行研究和探索。相信在未来,随着技术的不断进步和完善,CAR-T细胞疗法将在癌症治疗中发挥更加重要的作用,为更多的癌症患者带来康复的希望。
热点资讯/a>
- 宜明昂科-B(01541.HK)拟配售2420万股总筹3.5
- 2月13日股市必读:益盛药业(002566)股东户数2.07
- 双环传动(002472.SZ):2024年度新能源齿轮业务实
- 利欧股份(002131.SZ):半年度预盈3.5亿元–4.5
- 商务部副部长兼国际贸易谈判副代表凌激会见德国中小企业代表团
